欢迎您访问广德市人民医院
门诊时间(全年无休)8:00—17:00冬/8:00—17:00夏
通知公告:
广德市人民医院120医师招聘公告
[2025-09-25]
广德市人民医院投诉电话
[2025-08-11]
2025年广德市引进高层次医疗卫生人才公告
[2024-10-30]
关于宣城市“互联网+护理服务”项目和收费标准的公示
[2024-08-05]
2024年度第一批次公开招聘劳务派遣人员招聘录取结果的通知
[2024-03-19]
广德市人民医院120医师招聘公告
[2025-09-25]
广德市人民医院投诉电话
[2025-08-11]
2025年广德市引进高层次医疗卫生人才公告
[2024-10-30]
关于宣城市“互联网+护理服务”项目和收费标准的公示
[2024-08-05]
2024年度第一批次公开招聘劳务派遣人员招聘录取结果的通知
[2024-03-19]
?
搜索
网站首页
医院概况
医院简介
领导介绍
党建引领
党建工作
学习进行时
医院新闻
科室导航
专家队伍
信息公开
医院文化
老年健康
首页
>
新闻动态
多学科协力成功切除镰旁脑膜瘤
发布时间:
2021-02-07
阅读次数:
327
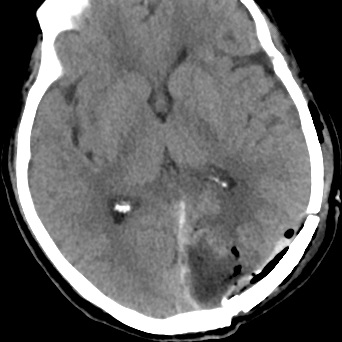
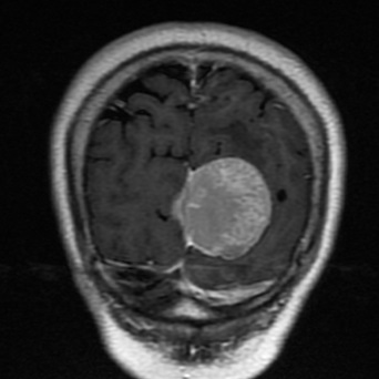
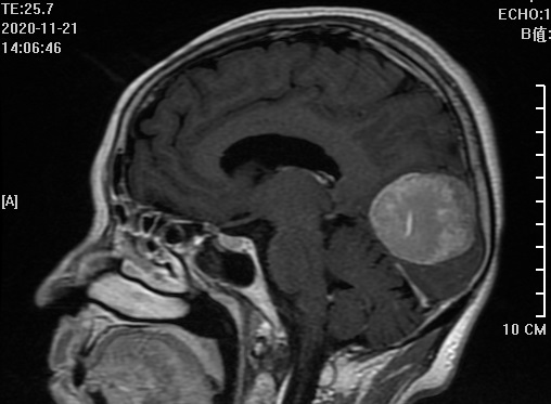
近日,弋矶山医院专家刘策刚主任、赵心同主任和我院神经外科主任汪明义、ICU主任胡文涛、呼吸内科主任赵兴良、麻醉科主任张德文、感染科主任袁聂平等专家齐聚我院神经外科医师办公室,就一位左枕部镰旁占位(术后病理为:脑膜瘤
)
病人的病情展开多学科会诊及病历讨论。
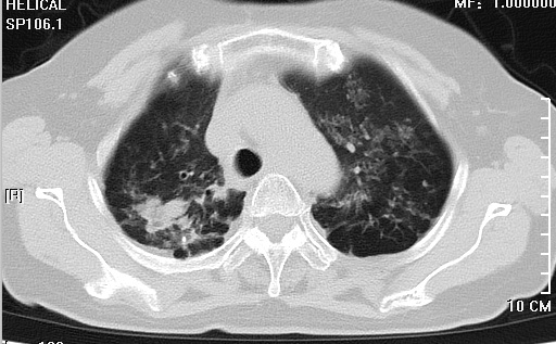
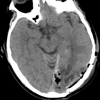
该病人在我院通过颅脑磁共振增强检查出左侧大脑镰旁占位性病变,来我院要求手术治疗,在完善相关术前检查时,患者的胸部CT结果却给我们带来诸多疑惑。
看到这样的胸部CT结果,神经外科医师做的第一件事就是再次核查患者流行病学史,反复确认新冠肺炎检查报告均为阴性后再请呼吸科、感染科医师会诊,会诊结合患者胸部CT均有考虑粟粒状肺结核灶可能,但患者入院后血常规、生化、血沉、痰找抗酸杆菌检查正常,结核分支核酸检测弱阳性。
由于患者颅内占位有手术需求,肺部问题诊断又不是非常明确,我科请院麻醉科、呼吸内科、感染科、重症医学科及我院弋矶山总院神经外科专家赵心同博士就患者肺部问题、手术以及术后相关问题展开多学科会诊及讨论。
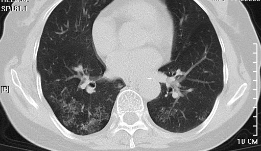
会诊中,各科主任认真阅片并分析交流,在管床医师汇报完患者相关病史后,各个学科主任相继就本科专业导向做出发言,就患者是非需要术前抗结核治疗、肺部情况是否耐受手术等做出讨论,讨论中调阅2年前患者既往我院就诊的肺部影像资料,对比本次胸部CT无明显变化,最终讨论决定积极手术治疗并做好应急预案。
经过多学科会诊及讨论后决定与家属积极沟通,考虑手术为限期手术,手术不排除增加手术风险性或者术后出血多种严重并发症,在积极完善术前准备及术后预案的情况下尽量降低手术的风险性,最终手术在弋矶山专家刘策刚主任的亲自主刀下完成,术后患者生命体征平稳,目前已康复出院。
刘策刚,男,主任医师,大学本科,安徽省危重病医学分会委员。曾在南京军区总医院神经外科、北京天坛医院神经外科及北京市神经外科研究所进修学习。多次参加德国蛇牌学院举办的显微神经外科技术培训班和神经内镜技术及应用进展学习班。擅长颅内肿瘤、颅脑创伤及椎管脊髓肿瘤的治疗,在脑血管疾病方面也有一定的手术及治疗经验,尤其是神经内镜技术的应用。开展了神经内镜下经鼻蝶入路切除垂体腺瘤及脑积水的三脑室底部造瘘手术,此外也开展了显微血管减压术治疗面肌痉挛等疾病。
上一篇:
弋矶山医院感染科专家来我院坐诊及带教指导工作
下一篇:
护理部举办2020年度优秀护理实习生表彰大会