欢迎您访问广德市人民医院
门诊时间(全年无休)8:00—17:00冬/8:00—17:00夏
通知公告:
广德市人民医院120医师招聘公告
[2025-09-25]
广德市人民医院投诉电话
[2025-08-11]
2025年广德市引进高层次医疗卫生人才公告
[2024-10-30]
关于宣城市“互联网+护理服务”项目和收费标准的公示
[2024-08-05]
2024年度第一批次公开招聘劳务派遣人员招聘录取结果的通知
[2024-03-19]
广德市人民医院120医师招聘公告
[2025-09-25]
广德市人民医院投诉电话
[2025-08-11]
2025年广德市引进高层次医疗卫生人才公告
[2024-10-30]
关于宣城市“互联网+护理服务”项目和收费标准的公示
[2024-08-05]
2024年度第一批次公开招聘劳务派遣人员招聘录取结果的通知
[2024-03-19]
?
搜索
网站首页
医院概况
医院简介
领导介绍
党建引领
党建工作
学习进行时
医院新闻
科室导航
专家队伍
信息公开
医院文化
老年健康
首页
>
新闻动态
普外二科成功完成一例腹主动脉瘤腔内隔绝术加腹腔镜下乙状结肠癌根治术
发布时间:
2020-08-21
阅读次数:
277
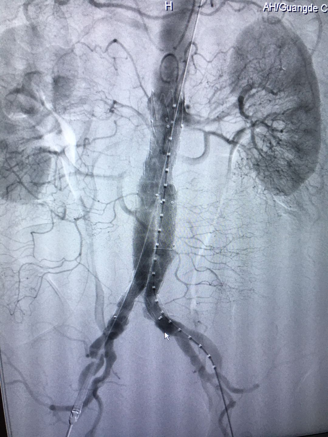
近日,普外二科成功完成一例腹主动脉瘤腔内隔绝术加腹腔镜下乙状结肠癌根治术。同一个病人先后两次手术都非常顺利,取得满意效果,患者现已康复出院。这一手术的成功,标志着我院普外科的发展又迈上了一个新台阶。
这位73岁的男性患者,因反复腹部疼痛不适伴稀便,外院行肠镜检查考虑乙状结肠肿瘤,为求进一步治疗入住我科。然而,在术前检查中,却意外发现比结肠癌更为棘手的是,腹膜腔CT检查发现患者患有腹主动脉下段动脉瘤。腹主动脉瘤就像人体不定时“炸弹”,大多数平时没有症状,但是一旦破裂,患者可能出现剧烈腹痛、低血压、大出血,病情极其凶险,在短时间内患者就会出现死亡。主治医生李文明主任认为一期行乙状结肠癌根治术相对风险较高,和弋矶山医院司春强主任商议后,决定先拆除这个不定时“炸弹”,再安排结肠癌手术。
7月18日,在我院导管室,患者在全麻下,经双侧腹股沟小切口,在动脉造影(DSA)监测下,实施腹主动脉瘤腔内隔绝术,术中出血少,创伤小,治疗一周后患者痊愈出院。
经过短暂的休养,7月29号患者再次入院,一切准备稳妥后,经腹腔镜乙状结肠癌根治术也如期顺利进行,在医务人员细心照料下,患者已于近期出院!
值得一提的是,腹主动脉瘤手术成功后,并非一劳永逸,仍然需要继续控制血压心率和血脂等,并定期复查,包括基本情况的检查,下肢活动血运是否有异常等。由此看来,平时的健康体检也不容小觑,早发现早诊断早治疗,我们的
生活质量才有所保障!
上一篇:
“医家亲”志愿服务义诊走进柏垫镇梨山
下一篇:
我院组织开展医德医风专题培训